Informacje dotyczące precyzyjnego wykrywania raka piersi u kobiet dzięki systemowi sztucznej inteligencji opracowanej przez Google podał Reuters.
Specjalny mechanizm AI został stworzony przez zespół inżynierów z laboratorium DeepMind przejętego przez Google w 2014 r. Teraz przedstawiono wyniki analiz dotyczących skuteczności tego rozwiązania.
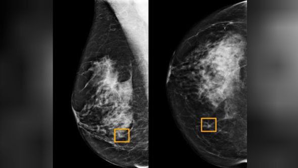
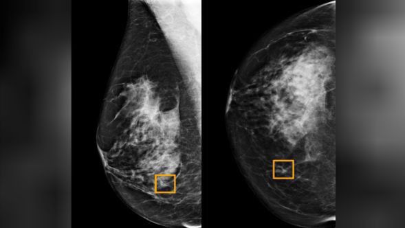
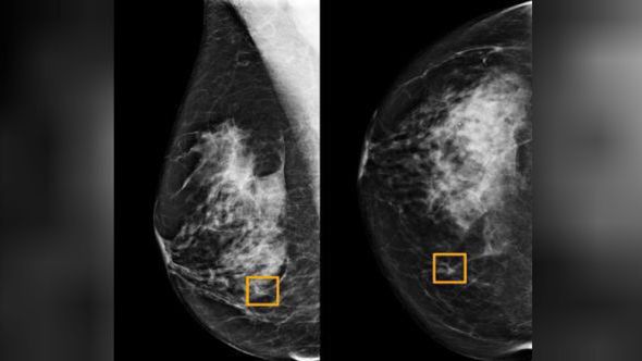
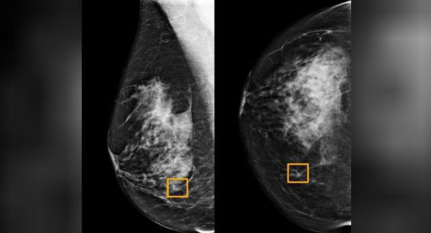
W trakcie testów sztuczna inteligencja dokonała analiz ponad 28,5 tys. mammogramów w Wielkiej Brytanii oraz z górą 3 tys. takich badań w Stanach Zjednoczonych.
Okazało się, że w USA AI zredukowała o 5,7 proc. przypadki, w których lekarze fałszywie zdiagnozowali raka piersi u pacjentek, u których w rzeczywistości ta choroba nie wystąpiła. Z kolei o 9,4 proc. zmalała liczba przypadków, w których kobiety uznane przez lekarzy za zdrowe w rzeczywistości chorowały na nowotwór piersi.

W Wielkiej Brytanii testy wykazały zmniejszenie liczby fałszywych dodatnich wyników o 1,2 proc., zaś fałszywie negatywnych – o 2,7 proc. Dysproporcje w wynikach osiągniętych w USA i Wielkiej Brytanii mają wynikać z tego, że w tym drugim kraju analizy testów mammograficznych dokonywane przez lekarzy są systemowo bardziej precyzyjne niż w Stanach.
DeepMind zaznacza, że prace nad wykorzystaniem AI do precyzyjnego wykrywania raka piersi są wciąż prowadzone, a sam system nie jest jeszcze doskonały. Dlatego na razie nie ma możliwości wprowadzenia tego rozwiązania do powszechnego wykorzystania w służbie zdrowia i nie wiadomo bliżej kiedy to się stanie.
W III kwartale 2019 roku holding Alphabet zanotował 20-proc. wzrost przychodu, ale jego zysk netto zmalał o ponad 2 miliardy dolarów. Większość przychodu wygenerował należący do Alphabet koncern Google, który w ciągu kwartału osiągnął 33,9 miliarda dolarów wpływów z reklam.














